查看更多
明星产品
关注我们
扫码关注我们
了解更多信息
随着全球肥胖与代谢综合征患病率的不断攀升,代谢功能障碍相关脂肪性肝病(MASLD)已成为最常见的慢性肝病之一。鞘氨醇-1-磷酸(S1P)作为一种生物活性脂质,参与多种生理过程并与多种疾病相关,其合成主要由鞘氨醇激酶(SphK)的两种亚型——SphK1和SphK2催化完成。然而,目前关于SphK2功能的研究仍较为有限,尤其对其在肝脏脂质代谢调控中的潜在作用尚不清楚。

2025年4月8日,安徽医科大学周洪团队在Cell Death & Differentiation(IF=13.7)上发表了题为“Sphingosine kinase 2 deficiency impairs VLDL secretion by inhibiting mTORC2 phosphorylation and activating chaperone-mediated autophagy”的研究论文。研究发现Sphk2-/-小鼠表现出肝细胞脂质积聚和极低密度脂蛋白(VLDL)分泌减少;机制研究表明,SphK2缺陷通过分子伴侣介导的自噬(CMA),降解了参与囊泡运输的SNARE(可溶性N-乙基马来酰亚胺敏感因子附着蛋白受体)复合物组分,阻碍了VLDL转运至高尔基体;mTORC2磷酸化和外源性S1P补充能改善脂质积累和VLDL的分泌。汉恒生物有幸为作者提供了KFERQ-eRFP-N1慢病毒探针用于检测CMA。下面介绍研究的主要成果。

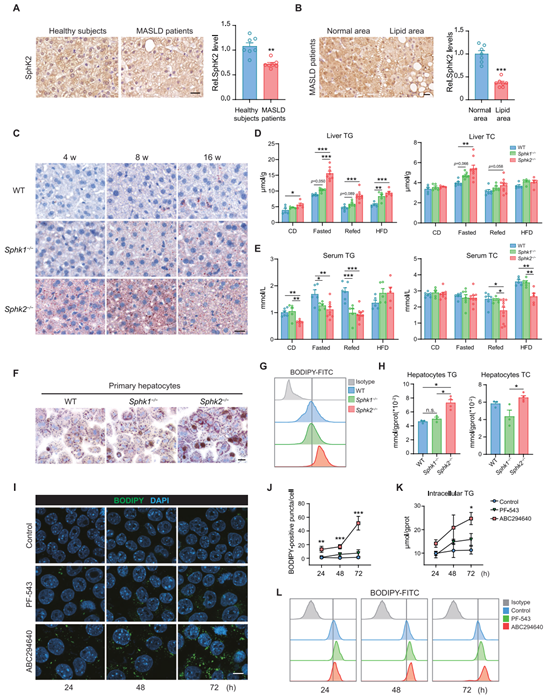
SphK2缺失导致肝细胞中甘油三酯的积聚
为了确定SphKs与肝脏脂质代谢的关系,作者检测了MASLD患者和健康人的肝脏组织中的SphKs表达,发现MASLD患者的SphK2蛋白水平显著低于健康人的;并且MASLD患者肝脏在接近脂质积聚的区域,SphK2蛋白降幅超过60%,而SphK1蛋白水平则无显著差异。高脂肪饮食(HFD)喂养的小鼠和暴露于棕榈酸的Hepa1-6细胞中,SphK2蛋白水平也是显著降低。说明SphK2蛋白水平和肝组织中脂质稳态之间呈负相关。
动物模型研究表明,在随机饮食喂养、禁食、禁食后再喂养或四周HFD喂养的条件下,检测WT小鼠、Sphk1-/-小鼠和Sphk2-/-小鼠肝脏和外周血中的甘油三酯(TG)和总胆固醇(TC)水平,结果显示Sphk2-/-小鼠中的这些指标比Sphk1-/-小鼠表现出更显著的变化。从WT、Sphk1-/-、Sphk2-/-小鼠中提取原代肝细胞,油红O和BODIPY染色显示,Sphk2-/-肝细胞中的脂质含量显著高于Sphk1-/-和WT肝细胞,TG水平也升高,但TC水平没有显著变化。体外实验中,SphK2特异性抑制剂ABC294640可诱导Hepa1-6细胞中出现显著的脂质积聚,而SphK1特异性抑制剂PF-543对Hepa1-6细胞则没有这种作用。总的来说,SphK2在平衡肝脏脂质代谢方面比SphK1有着更重要的作用。

图1 Sphk2−/−小鼠肝脏中TG积聚
Sphk2−/−小鼠肝脏VLDL-TG分泌减少
随后,作者检测了Sphk1−/−和Sphk2−/−小鼠的血浆脂质含量。快速蛋白液相色谱(FPLC)分析显示,Sphk2−/−小鼠VLDL组分中的TG水平显著低于WT和Sphk1−/−小鼠,而低密度脂蛋白(LDL)和高密度脂蛋白(HDL)组分中的TG水平则没有显著降低。将四丁酚醛(抑制血浆脂解活性)注射到小鼠体内以评估VLDL分泌能力,观察到Sphk2−/−小鼠的肝脏VLDL分泌率显著低于WT和Sphk1−/−小鼠;对Hepa1-6细胞添加ABC294640处理,同样也显著降低了VLDL的分泌。说明SphK2在肝细胞分泌VLDL中起到至关重要的作用。
为进一步确定SphK2是否参与肝脏中的其他TG代谢途径,提取分离Sphk2−/−和WT小鼠的原代肝细胞,进行蛋白质组学分析。鉴定到110种差异表达蛋白,其中ACC1水平降低和LCADα表达增加,表明游离脂肪酸(FFA)合成减少和β-氧化加速,这可能是由于过度的TG积累。以上结果说明SphK2的缺乏导致肝脏VLDL分泌减少,进而引起肝脏脂质积聚。

图2 Sphk2−/−小鼠肝脏VLDL-TG分泌减少
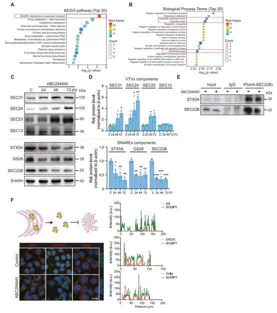
Sphk2−/−小鼠肝细胞中VTV和高尔基体之间的融合受损
Sphk2−/−和WT小鼠原代肝细胞的蛋白质组学分析表示,“囊泡转运中的SNARE相互作用”是最富集的途径;GO分析表明,差异蛋白富集于“细胞器膜融合”、“细胞器融合”和“膜融合”等生物过程中。这些数据说明Sphk2缺失影响肝细胞中的膜融合和识别过程。
已有文献证实,VLDL在内质网腔内合成后,由VLDL转运囊泡(VTV)负责转运到顺式高尔基体,随后分泌到循环系统中;这种转运依赖于SNARE复合物的识别,特别是VTV和高尔基体之间的识别。所以作者用ABC294640处理Hepa1-6细胞,检测发现VTV囊泡组分SEC31、SEC23和SEC24的蛋白水平随时间推移逐渐增加;而SNARE复合物组分SEC22B(锚定于VTV)、STX5A和GS28的蛋白水平显著降低;SEC22B和STX5A之间的相互作用也被显著抑制。并且ABC294640对SphK2活性的抑制导致VTV和高尔基体之间的脂质运输受损,在高尔基体中未观察到脂质。说明SphK2对VTV和高尔基体之间的融合有着关键作用。

图3 Sphk2−/−小鼠肝细胞中VTV和高尔基体融合受损
SphK2以溶酶体依赖性方式调节SNARE稳定性并加速其降解
上述结果中ABC294640处理虽然降低了SEC22B、STX5A和GS28的蛋白水平,但是没有影响它们的转录水平。所以作者进一步检测了SNARE复合物组分的稳定性,发现SEC22B、STX5A和GS28的半衰期在ABC294640处理后显著缩短。在参与蛋白质降解主要途径的特异性抑制剂中,NH4Cl(一种特异性溶酶体功能抑制剂)处理显著逆转了由ABC294640诱导的STX5A、GS28和SEC22B水平降低和细胞内脂质与TG的积聚。这些结果说明抑制SphK2会加速溶酶体依赖性的SNARE复合物的降解和细胞内脂质的积聚。

图4 SphK2通过溶酶体相关途径调节SNARE稳定性并加速其降解
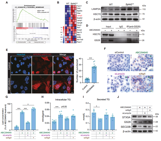
敲低LAMP2A或HSC70逆转Sphk2缺陷引起的脂质积累
蛋白质组学分析表明,Sphk2-/-小鼠肝细胞中与溶酶体功能相关的通路显著上调。在Sphk2-/-小鼠的肝脏中观察到LAMP2A水平升高,表明CMA发生激活。在Hepa1-6细胞中表达CMA探针KFERQ-eRFP-N1,用ABC294640处理细胞后,细胞内红色荧光斑点的数量显著增加,表明CMA活性增强。此外,在ABC294640处理的Hepa1-6细胞中,敲低LAMP2A或HSC70能显著降低脂质和TG积累并部分恢复VLDL的分泌,同时减轻了ABC294640诱导的SNARE组分蛋白降解,而抑制ATG5(大自噬相关分子)没有表现出类似的恢复效果。这些结果表明,Sphk2缺陷诱导的脂质积累是依赖CMA完成的。
图5 LAMP2A敲低减轻Sphk2缺陷诱导的TG积累
mTORC2激活逆转Sphk2缺陷引起的肝细胞脂质蓄积
随后,作者对Sphk2缺陷的肝细胞中CMA通路的激活机制进行了深入探讨。鉴于mTORC2磷酸化对CMA活性具有负向调控作用,作者在经ABC294640处理的Hepa1-6细胞中添加mTOR激活剂MHY1485,发现MHY1485可显著缓解脂质积聚现象。为进一步明确mTOR的作用机制,作者通过siRNA分别沉默mTORC1亚基Raptor和mTORC2亚基Rictor进行功能验证。结果显示,在Raptor沉默时,MHY1485仍能有效恢复ABC294640导致的SNARE复合物蛋白(SEC22B、STX5A与GS28)降解,并逆转其诱导的细胞内脂质及TG积聚;而在Rictor被沉默后,MHY1485则不具有相似的挽救效应。此外,ABC294640处理抑制了mTORC2下游靶标(AKT、GSK3β、PKCα、SGK1)的磷酸化水平。这一系列实验表明,SphK2活性抑制会特异性阻断mTORC2信号通路,进而通过增强CMA途径导致SNARE复合物蛋白降解,最终促进肝细胞中TG的积累。

图6 mTORC2磷酸化的增加逆转了Sphk2缺陷引起的VLDL分泌减少
S1P上调mTORC2磷酸化以维持细胞内脂质稳态
S1P由SphKs催化生成,可以激活mTOR途径。在Sphk2⁻/⁻小鼠肝脏中观察到S1P含量显著降低;同样,在体外实验中,ABC294640处理也可诱导Hepa1-6细胞内S1P呈时间依赖性下降。外源性补充S1P能够显著逆转ABC294640所引起的脂质蓄积,促进TG分泌,从而降低细胞内TG水平。通过siRNA敲低Rictor可阻断S1P的上述作用。此外,外源性S1P可显著增强mTORC2下游信号分子AKT、GSK3β、PKCα和SGK1的磷酸化水平。综上,这些结果说明,抑制SphK2会减少肝脏中S1P的生成,进而下调mTORC2通路活性,最终通过促进SNARE复合物组分SEC22B、GS28和STX5A的降解,抑制VTV与高尔基体融合,损害肝细胞VLDL的分泌能力。

图7 S1P上调mTORC2磷酸化以维持细胞内脂质稳态
本研究创新性地阐明了一种调控肝脏脂质代谢的新机制:SphK2可通过激活mTORC2磷酸化来抑制CMA,进而促进VLDL分泌、维持肝脏脂质稳态。这一发现不仅揭示了SphK2功能及其调控VLDL分泌的潜在机制,也为靶向SphK2-S1P-mTORC2-CMA通路治疗肝脏脂质代谢性疾病提供了重要理论依据。

查看更多

查看更多

查看更多
联系我们
返回顶部