查看更多
明星产品
关注我们
扫码关注我们
了解更多信息
乳腺癌作为女性最常见的实体肿瘤,因其高转移、高复发率与耐药性等特点仍是临床上的重大挑战课题。静息期癌细胞是肿瘤微环境中的“顽固群体”,常隐匿于低氧、营养匮乏的肿瘤核心区域,依赖代谢重编程使氧化磷酸化(OXPHOS)成为主要能量来源途径,以逃避阿霉素(Doxorubicin,DOX)等传统化疗药物的杀伤,成为复发与转移的根源。研究表明,热休克蛋白HSP90及其线粒体同源蛋白TRAP1分别通过调控糖酵解和OXPHOS途径,调节肿瘤细胞代谢的可塑性。其中,HSP90通过稳定糖酵解关键酶(如PKM2)维持能量供应;而TRAP1通过稳定线粒体复合物II以促进OXPHOS。然而,单独抑制糖酵解和OXPHOS任一途径均可能触发代偿性代谢反应,导致治疗失败。因此,探寻双重靶向药物对于清除静息期乳腺癌细胞极具发展前景。

2025年3月3日,福建医科大学许建华教授及其团队成员Muhammad Zubair Saleem等在《Drug Resistance Updates》(IF=21.7)上发表题为“Targeting TRAP1-dependent metabolic reprogramming to overcome doxorubicin resistance in quiescent breast cancer”的研究论文。本研究针对静息期乳腺癌细胞提出了一种双重靶向策略,即新型HSP90抑制剂C210,它作为胞质HSP90(糖酵解)和线粒体TRAP1(OXPHOS)的双重抑制剂,可阻断癌细胞的代谢代偿网络,从而有效清除低氧低糖条件下的静息期乳腺癌细胞。作者首先采用低氧低糖培养策略模拟实体瘤核心微环境,在体外建立了以TRAP1高表达为特征的静息期乳腺癌细胞模型,并证实这些细胞对DOX具有耐药性。随后,作者结合蛋白质组学、代谢组学及功能实验等方法,系统解析了C210对代谢途径的调控机制,即通过同时抑制TRAP1和HSP90α的分子伴侣功能,破坏本就脆弱的生物能量代谢系统,且对静息期癌细胞的清除效率显著高于增殖期癌细胞。此外,利用小鼠移植瘤模型证实了C210在体内具有同样的抗肿瘤效果及安全性。由此,本研究证实了C210通过靶向TRAP1依赖性代谢重编程,为克服乳腺癌耐药性提供创新性治疗策略。
本研究中,汉恒生物有幸为作者提供了针对人源TRAP1基因的siRNA,成功敲低了人乳腺癌细胞系MCF-7和MDA-MB-231中的TRAP1基因的表达。
下面我们一起来看看作者是如何发掘其中的机制:
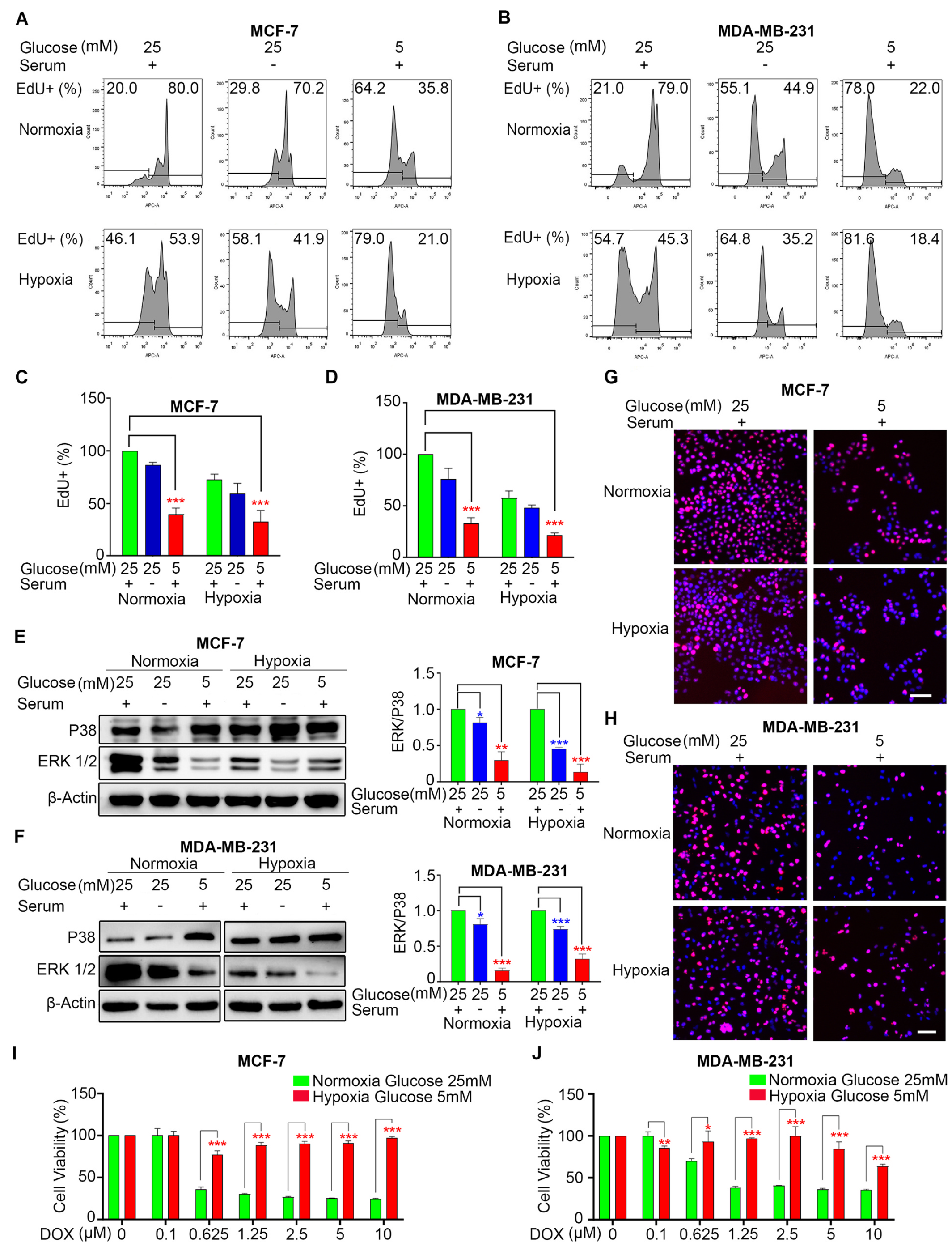
1.在低氧和葡萄糖剥夺条件下,乳腺癌细胞进入静息状态,表现出对DOX的耐药性,并呈现TRAP1表达升高伴随高耗氧率(OCR)水平
首先,作者在低氧(1% O2)和低葡萄糖(5 mM)条件下,体外培养乳腺癌细胞系MCF-7细胞和MDA-MB-231细胞,以诱导肿瘤细胞进入静息状态,进而评估肿瘤细胞的增殖状态、DOX耐药性以及能量代谢特征。作者通过EdU掺入实验、Ki-67染色和ERK/p38信号通路分析发现与常氧高糖(21% O2,25 mM葡萄糖)培养的细胞相比,静息状态细胞中的EdU和Ki-67阳性细胞数量均显著减少,且ERK/p38的比值下降,提示低氧低糖条件下的癌细胞进入休眠状态(图1 A-H)。同时,这些细胞还表现出对DOX的高度耐药性(图1 I,J)。

图1. 在低氧低糖条件下,体外乳腺癌细胞进入休眠状态,并对DOX产生耐药性
此外,已知TRAP1和HSP90α可独立调节细胞对低氧的适应性和代谢表型。研究结果发现,MCF-7和MDA-MB-231细胞在低氧低糖条件下均表现出TRAP1上调与HSP90α下调,表明TRAP1在调控肿瘤休眠和耐药性中具有重要作用(图S1 A-C)。接着,作者通过对线粒体呼吸链复合物标志基因检测以及蛋白质组学和代谢组学分析,证实OXPHOS为乳腺癌细胞静息状态下的主要能量来源(图S1 D-M)。与此一致的是,MCF-7和MDA-MB-231细胞在低氧低糖条件下表现出较高的基础OCR和抗霉素A敏感型OCR(图3 D)。

图S1. 静息期乳腺癌细胞表现出更高的TRAP1表达水平和OXPHOS活性
2. C210通过靶向线粒体完整性,降低DOX耐药的静息期乳腺癌细胞活力,并诱导其凋亡
随后,作者使用C210抑制剂处理乳腺癌细胞,评估其对增殖期和静息期细胞的作用效果。通过MTT法和流式(Annexin V染色)检测细胞活性和凋亡情况,发现C210能够诱导增殖活跃的MCF-7和MDA-MB-231细胞发生凋亡,但对于静息期细胞的促凋亡效果更强,尤其是MCF-7细胞(图2 A-H)。鉴于OXPHOS是静息期乳腺癌细胞的主要能量来源,推测C210可能通过诱导线粒体损伤来促进细胞凋亡,因此检测了线粒体相关凋亡标志物的表达和线粒体膜电位(ΔΨm)的变化。结果显示,C210处理能显著上调增殖期和静息期细胞中Bax的表达,同时下调Bcl-2的表达,且静息期细胞的Bcl-2/Bax比值下降更为显著;同样的,静息期细胞ΔΨm丧失更严重(图2 I-L)。这些结果证实,C210通过靶向线粒体功能以激活凋亡通路,并选择性清除DOX耐药的静息期乳腺癌细胞。

图2.在低氧低糖应激条件下,C210优先抑制DOX耐药的静息期乳腺癌细胞的活力,并诱导线粒体相关途径凋亡
3. C210靶向线粒体的生物能量代谢,以清除DOX耐药的静息期乳腺癌细胞
结合上述研究结果,作者进一步探究了C210是否通过干扰线粒体能量代谢来清除DOX耐药的静息期乳腺癌细胞。采用蛋白质组学等方法分析发现,在低氧低糖条件下,静息期的MCF-7和MDA-MB-231细胞通过上调TRAP1依赖的OXPHOS途径维持生存,表现为OXPHOS相关蛋白(如NDUFS1、SDHB和COX-IV)表达升高,基础OCR及抗霉素A敏感型OCR显著增强;当给予C210处理后,可显著逆转上述指标(图3 A-D)。研究结果表明,静息期乳腺癌细胞高度依赖线粒体生物能量代谢,而C210可通过抑制TRAP1介导的OXPHOS途径破坏其生存机制。

图3. C210在低氧低糖状态下,抑制DOX耐药的静息期乳腺癌细胞的OXPHOS活性
4.C210可抑制静息期乳腺癌细胞中线粒体ATP的生成
ATP是线粒体能量代谢过程中的关键产物,因此,作者继续探究C210对ATP合成的调控作用。通过特异性荧光探针对线粒体和ATP进行共定位,发现在低氧低糖条件下,C210显著降低静息期MCF-7和MDA-MB-231细胞的线粒体ATP水平(图4 A-D)。值得注意的是,增殖期MDA-MB-231细胞经C210处理后线粒体ATP荧光增强,这可能由于糖酵解被抑制后触发的OXPHOS代偿性激活(图4 B,D)。与之相对应,通过外源性ATP或腺苷的补充可显著逆转C210对静息期细胞的杀伤作用(图4 E,F)。以上结果表明,C210通过阻断静息期细胞的线粒体ATP生成,进而选择性诱导DOX耐药的静息期乳腺癌细胞死亡。

图4.C210可破坏静息期乳腺癌细胞中的线粒体ATP合成
5.C210直接结合胞质中的HSP90α和线粒体中的TRAP1,并抑制它们的功能
接着,作者深入探究C210干扰ATP生成的机制,分析了其与胞质HSP90α和线粒体TRAP1的关系。通过局域表面等离子共振(LSPR)和分子对接技术分析显示,C210与人源HSP90α和TRAP1具有高亲和力,且通过氢键和范德华力特异性结合HSP90α的中间结构域(负责调控客户蛋白)和TRAP1的ATP结合口袋(图5 A-F,H,I)。另外,通过与线粒体共定位证实C210可富集于线粒体,为其靶向TRAP1提供了亚细胞定位基础(图5 G)。

图5. C210直接结合并抑制HSP90α和TRAP1
为证实C210对乳腺癌细胞OXPHOS的抑制作用源于TRAP1的抑制,作者进行了相应的功能性验证。在低氧低糖条件下,比较了C210与TRAP1 siRNA对OXPHOS相关蛋白的表达影响。结果显示,C210与TRAP1敲低作用类似,均显著下调SDHB和COX-IV的表达,尤其在MCF-7细胞中效果更显著(图6 A,B)。此外,C210处理导致糖酵解相关HSP90α客户蛋白PKM2与OXPHOS相关TRAP1客户蛋白SDHB的降解,该过程可被蛋白酶体抑制剂MG132逆转,而蛋白质合成抑制剂CHX可加速降解(图6 C,D)。通过Co-IP实验进一步表明,C210破坏HSP90α-PKM2和TRAP1-SDHB的相互作用,促使客户蛋白解离并通过蛋白酶体降解(图6 E,F)。以上结果表明,C210通过破坏HSP90α和TRAP1的分子伴侣功能,同时抑制糖酵解与OXPHOS途径,这种双重抑制机制可有效靶向乳腺癌细胞的生物能量脆弱性。

图6.C210对OXPHOS和糖酵解的抑制作用与TRAP1和HSP90α的功能抑制相关
6.C210通过靶向生物能量代谢来抑制体内肿瘤生长
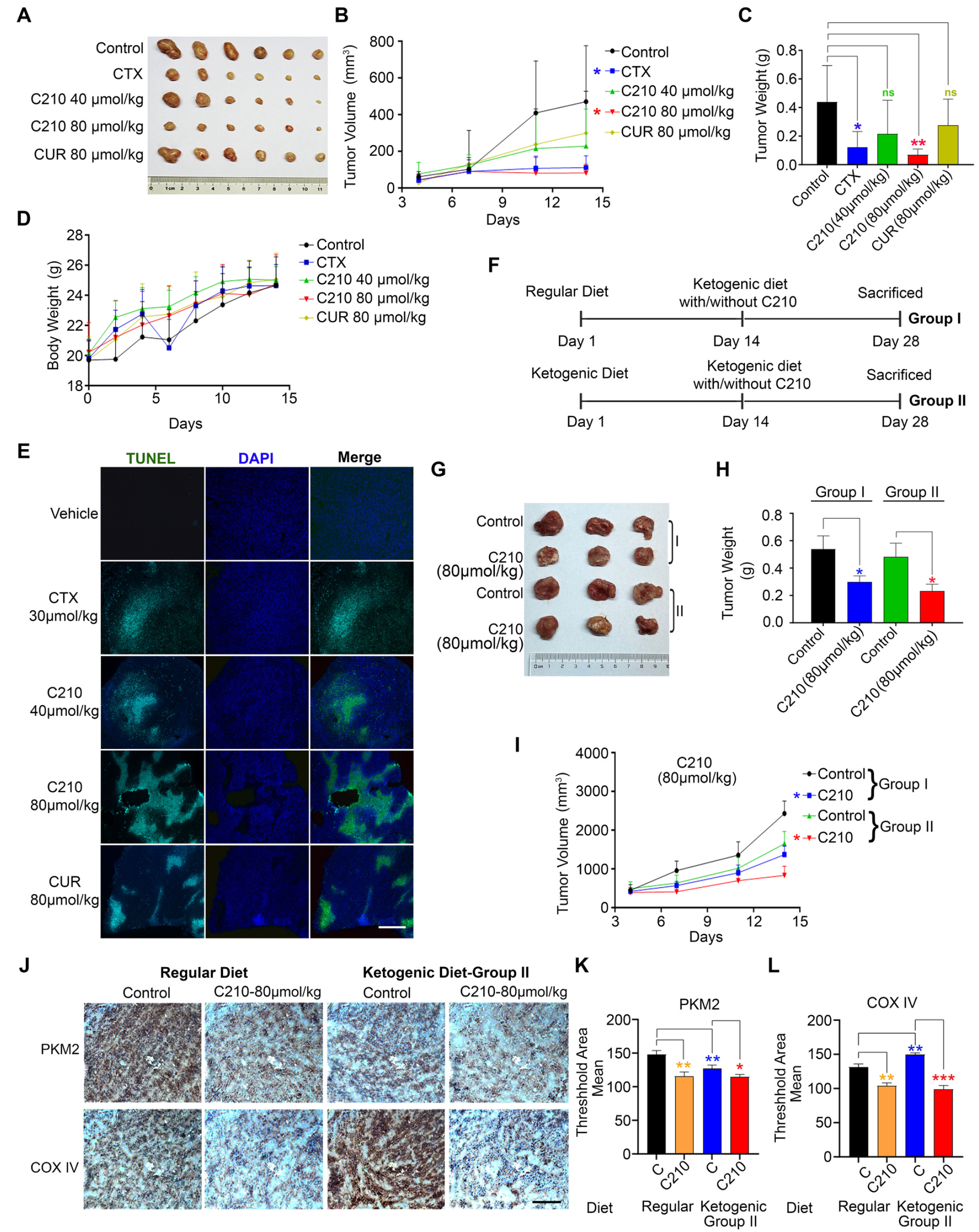
最后,作者验证了C210在体内对乳腺癌细胞的抑制作用。作者采用不同移植瘤模型,比较了C210与阳性对照化合物CTX、cCUR的抗肿瘤功效。在4T1细胞(呈现OXPHOS表型)移植瘤Balb/C小鼠模型中,C210对肿瘤重量的抑制率优于阳性对照CTX和cCUR,且未引起体重下降(图7 A-D)。TUNEL检测结果显示,C210处理组的肿瘤组织凋亡率显著高于阳性对照组(图7 E)。同样的,在MCF-7移植瘤裸鼠模型中得到了一致的结果。
为探究C210对移植瘤模型生物能量代谢的影响,作者通过饮食干预来模拟不同能量供给状态:常规高糖饮食组,生酮饮食组(模拟糖剥夺)(图7 F)。研究结果显示,常规高糖饮食组肿瘤中糖酵解标志物PKM2高表达,而生酮饮食组肿瘤的OXPHOS标志物COX-IV显著上调(图7 J)。经C210处理后,两组小鼠模型的肿瘤生长均受到抑制,且生酮饮食组效果更突出;同时还发现PKM2和COX-IV的表达显著减少(图7 G-L)。以上结果表明,C210通过靶向肿瘤细胞的特定代谢表型(糖酵解与OXPHOS),在体内抑制乳腺癌细胞的生长,且具有良好的安全性。

图7. C210在体内抑制肿瘤生长并降低糖酵解和OXPHOS水平
总结
综上所述,本研究发现新型HSP90α抑制剂C210通过抑制HSP90α和TRAP1的分子伴侣功能,同时靶向干扰肿瘤细胞的糖酵解和OXPHOS途径,破坏其能量代谢进而诱导细胞凋亡。相比增殖期乳腺癌细胞,C210能更有效地清除低氧低糖条件下对DOX耐药的静息期乳腺癌细胞,以上结果发现为克服静息期乳腺癌细胞的耐药性提供了新方向。

图8. C210调控增殖期和静息期乳腺癌细胞生物能量代谢的抗癌药理学机制

查看更多

查看更多

查看更多
联系我们
返回顶部