查看更多
明星产品
关注我们
扫码关注我们
了解更多信息
牙周炎(Periodontitis)是一种常见的口腔慢性炎症性疾病,是成人牙齿脱落的原因之一。已有研究表明,牙周炎的发生与巨自噬/自噬(Macroautophagy/autophagy)过程有着复杂的联系,自噬像一把双刃剑,在维持牙周稳态中起到双重作用,但是自噬与牙周炎的发病机制之间的精确调控关系尚未完全阐明。

2024年12月11日,浙江大学丁佩惠和王慧明研究团队联合在《Autophagy》(IF=14.6)上发表了题为“USP4 depletion-driven RAB7A ubiquitylation impairs autophagosome-lysosome fusion and aggravates periodontitis”的研究论文。作者首先通过对临床牙龈样本进行转录组学和组织学分析,发现自噬过程中的关键蛋白RAB7A(小分子GTP酶)在牙周炎患者牙龈组织中表达下调,进一步研究发现其通过泛素化修饰调控自噬体与溶酶体的融合过程,进而影响炎症因子IL-1B的释放。去泛素化酶USP4在RAB7A的泛素化修饰中扮演着重要的调控角色。本研究揭示了USP4的缺失导致RAB7A泛素化,破坏了正常的溶酶体运输和自噬体-溶酶体融合,从而显著促进了牙周炎的进展。值得注意的是,在本研究中,作者使用了汉恒生物提供的USP4 siRNA,成功在THP-1细胞中实现了USP4基因的敲低。
下面,我们一起来了解具体的研究内容:
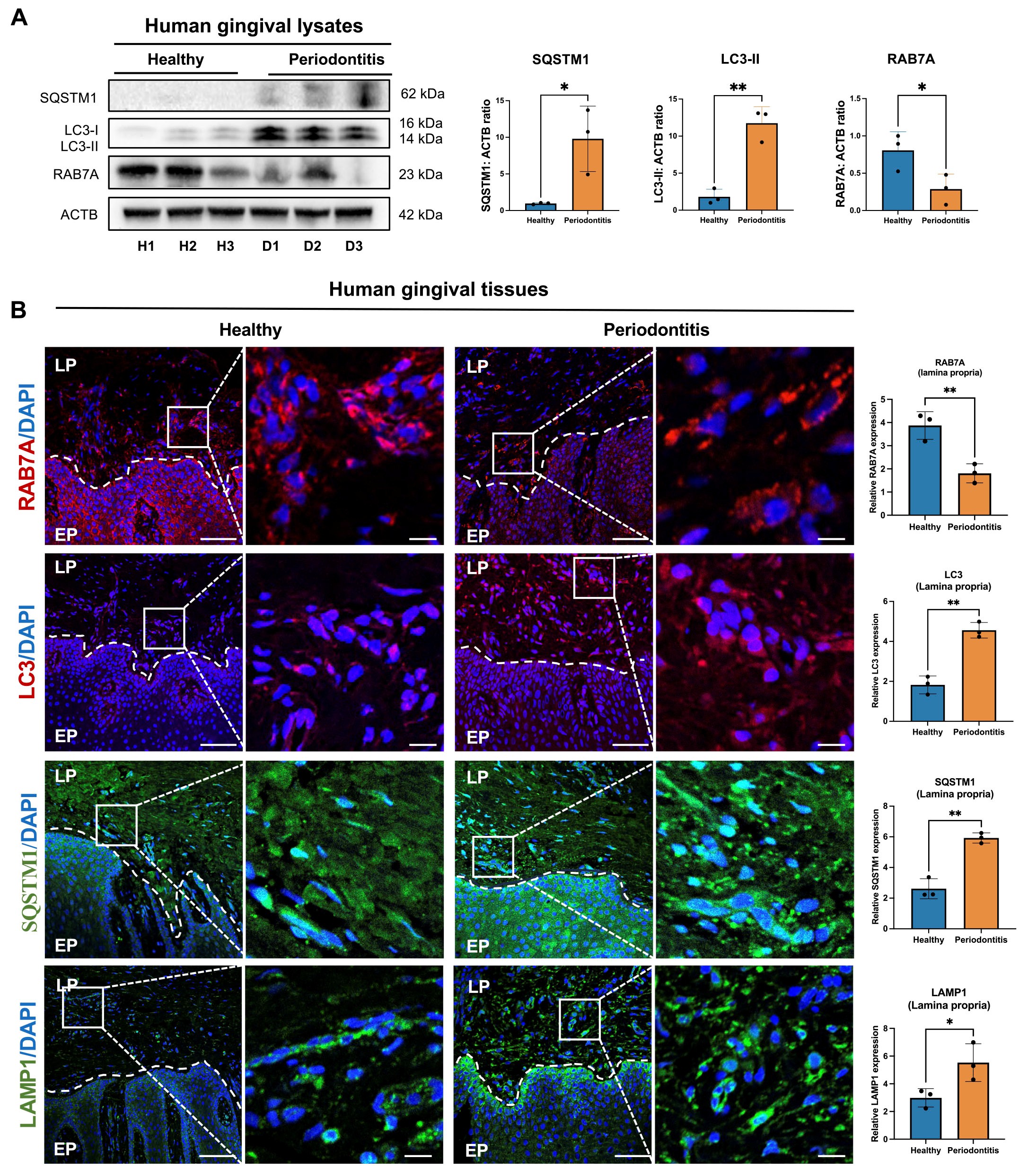
1.牙周炎患者牙龈中RAB7A表达降低,自噬水平受损
前期研究报道RAB7A在骨关节炎、非酒精性脂肪肝等炎症性疾病中的低表达,因此,作者检测了正常牙龈组织和牙周炎患者的牙龈组织中RAB7A的表达,WB检测结果显示:牙周炎患者牙龈组织中RAB7A的表达显著低于正常牙龈组织;接着,为了评估牙周病中潜在的自噬受损情况,作者通过WB检测了牙龈组织中自噬相关指标SQSTM1和LC3(LC3-Ⅰ、LC3-Ⅱ)的表达,研究结果显示:与正常牙龈组织比较,牙周炎患者的牙龈组织中LC3-Ⅱ和SQSTM1的表达水平显著增加,说明自噬溶酶体融合或降解受阻。另外,作者通过免疫荧光检测了牙龈组织中RAB7A、SQSTM1、LC3和溶酶体标志物LAMP1的表达,检测结果与WB结果一致,并且溶酶体标志物LAMP1的表达在牙周炎患者牙龈组织中的表达升高,这表明自噬流的抑制并非由于溶酶体数量减少而引起。另外,为了探究牙周炎中RAB7A表达下调的细胞类型,作者对NCBI GEO数据库中的单细胞RNA测序(scRNA-seq)数据集(GSE164241,该数据集包括13个牙周炎样本和8个健康对照样本)进行分析,结果显示牙周炎患者牙龈组织中内皮细胞、成纤维细胞和免疫细胞中RAB7A的表达均显著降低。这些结果表明,牙周炎患者牙龈组织中自噬活性受损且RAB7A表达下调。

图1. 牙周炎患者牙龈中RAB7A表达降低,自噬水平受损
2.RAB7A激动剂ML098促进自噬并抑制牙周炎小鼠的牙槽骨流失
已有研究报道RAB7A介导的自噬体形成可以减轻内质网压力相关的神经炎症,这表明RABA表达下调可能导致自噬受损进而促进牙周炎的发展。为了评估RAB7A下调对牙周炎发病机制的影响,作者通过丝线结扎联合普氏牙龈卟啉单胞菌(Porphyromonas gingivalis,P. g.)感染构建小鼠牙周炎模型,并腹腔注射RAB7A激动剂(ML098)(实验分3组:对照组、牙周炎组和ML098组(牙周炎+RAB7A激动剂组))。接着,作者通过microCT评估牙槽骨流失情况,结果显示:与对照组和ML098组比较,牙周炎组小鼠牙槽骨流失加剧(CEJ-ABC增加,CEJ-ABC即从牙骨质连接处(CEJ)到牙槽骨顶(ABC)的距离),重要的是,对照组和ML098组之间的CEJ-ABC没有显著差异,这表明RAB7A激动剂ML098减轻了牙周炎小鼠的牙槽骨流失。随后,作者通过免疫荧光染色评估了三组实验小鼠的自噬活性。免疫荧光检测结果显示:与对照组比较,牙周炎小鼠牙龈中LC3和SQSTM1蛋白水平均升高,而RAB7A蛋白水平显著降低,这与牙周炎患者的观察结果一致;用RAB7A激动剂ML098治疗后,牙周炎小鼠牙龈中的RAB7A水平显著提高,而LC3的表达降低,这表明RAB7A激动剂ML098可以促进牙周小鼠的自噬活性。
此外,为了研究自噬受损在牙周炎发病中的功能,作者将小鼠随机分成3组(对照组、牙周炎组和Baf A1组(牙周炎联合腹腔注射V-ATP酶抑制剂Baf A1,Baf A1常被用于自噬抑制剂),microCT结果显示:与对照组和牙周炎组小鼠比较,Baf A1组小鼠牙槽骨流失加剧;免疫荧光结果显示:Baf A1组小鼠牙龈组织中LC3和SQSTM1升高,这表明自噬受损加剧了牙周炎小鼠的牙槽骨流失。以上研究结果表明,RAB7A的表达下降会导致自噬受损,从而在牙周炎的发展中发挥重要作用。

图2.RAB7A激动剂ML098促进自噬并抑制牙周炎小鼠的牙槽骨流失
3.RAB7A通过阻断巨噬细胞中的自噬体-溶酶体的融合介导自噬受损
巨噬细胞在牙龈组织中被广泛认为是固有髓样细胞,它们在调节牙周炎期间的免疫反应方面起着关键作用,为了进一步探究自噬受损的阶段,作者对巨噬细胞中自噬相关基因的表达谱进行分析,结果显示:与正常牙龈组织比较,参与自噬体-溶酶体融合的基因RAB7A和VAMP8在牙周炎牙龈组织中显著减少,而与自噬启动有关的基因ULK1则明显增加。此外,GO分析结果显示:“自噬调节”、“大自噬”、“吞噬体”及“自噬正向调控”等通路在牙周炎巨噬细胞中显著富集。这些结果表明,在牙周炎牙龈组织巨噬细胞中,自噬损伤主要发生在融合阶段,而不是起始阶段。
为了确定这一假说,作者检测了P.g.刺激后THP-1细胞自噬相关蛋白的表达水平。结果显示:在P.g.刺激10 min和30 min后, SQSTM1蛋白水平先下降,随后随着时间的推移逐渐升高,LC3-II蛋白的水平随着P.g.刺激时间的延长而升高,由此表明,自噬小体的形成没有受损。另外,作者发现THP-1细胞的自噬损伤随着感染复数(MOI)的增加而加剧,并且在8 h或者MOI=100的P.g.刺激下,RAB7A的表达显著下降,这表明,在P.g.刺激的THP-1细胞中,RAB7A活性的降低可能与受损的自噬流有关。
另外,为了评估自噬的起始阶段是否受到影响,作者检测了自噬起始相关蛋白、mTOR和BECN1水平。与对照组相比,P.g.刺激组磷酸化mTOR与非磷酸化mTOR的比值下降,而BECN1蛋白水平在THP1细胞中持续增加。这表明,在P.g.刺激后,THP-1细胞中的自噬体膜形成和延伸没有被破坏。
接着,作者使用GFP-RFP-LC3慢病毒感染THP-1细胞,并对自噬流进行观察,结果显示:在P. g.感染的前30 min,观察到了更多的自噬溶酶体,而当感染时间持续超过2 h时,自噬小体更为普遍。当P. g.刺激8h时,自噬小体的数量增加,而自噬溶酶体的数量在刺激组中相比对照组减少(该结果与WB结果指标变化一致),说明P. g.刺激抑制自噬溶酶体的生成。为了进一步证明此结论,作者使用雷帕霉素激活自噬体形成。结果表明,与仅使用雷帕霉素的组相比,P. g.和雷帕霉素联合处理显著促进了自噬体的形成并增加了LC3-II蛋白的表达,这表明P. g.刺激通过影响自噬与溶酶体的融合步骤来抑制自噬流。类似的,作者使用自噬抑制剂3-MA处理P. g.刺激的THP-1细胞,与雷帕霉素处理后的细胞,自噬流呈现相反的结果。以上实验结果表明,P.g.刺激的THP-1细胞中,自噬损伤发生在自噬体与溶酶体融合阶段。
随后,作者探究了自噬损伤对IL-1B的成熟和释放的影响,WB和ELISA检测结果显示,Baf A1显著增加了P.g.组IL-1B的成熟和释放,而雷帕霉素减少了这个过程。总体而言,这些结果表明,P.g.的长期刺激在THP-1细胞的自噬体-溶酶体融合过程中抑制了自噬,导致IL-1B的分泌和成熟增加。

图3.巨噬细胞中自噬损伤是通过阻断自噬体-溶酶体融合所介导
4.RAB7A活性被抑制后阻断自噬体-溶酶体融合
已有研究表明,自噬体和溶酶体被运输到核周区域之后融合形成自噬溶酶体以降解其内容物。溶酶体的核周转运由RAB7A GTP酶的调节,该酶在活性GTP结合状态和非活性GDP结合状态之间交替。为了探究活化的RAB7A是否能促进自噬体-溶酶体融合,作者检测了活性状态下的RAB7A(GTP-RAB7A)和总的RAB7A的表达情况,检测结果显示:与P. g.未刺激组比较,P. g.刺激组中GTP-RAB7A与总RAB7A蛋白的比例显著下降,而总RAB7A的表达水平没有显著变化,由此表明,P. g.刺激导致RAB7A失活而不是改变其总蛋白的表达。此外,作者观察到在P. g.刺激组中RAB7A和RILP共定位的细胞显著减少(活化的GTP-RAB7A通过与RILP相互作用调节溶酶体向核周区的转运,RILP是RAB相互作用溶酶体蛋白),这表明P. g.刺激细胞抑制了RAB7A-RILP的相互作用。随后,作者用不同浓度的RAB7A激活剂ML098和抑制剂CID-1067700分别处理THP-1细胞,发现随着ML098浓度的增加,SQSTM1的水平降低,而SQSTM1的水平随着CID-106770浓度的增加而升高。并且,ML098组中LC3-II的表达水平与对照组比较无显著差异。以上结果表明,RAB7A调节自噬体与溶酶体的融合而不是调节自噬途径和自噬体形成。
另外,作者评估了四组细胞(对照组、P. g.刺激组、P. g.联合ML098组和CID-1067700组)的自噬流水平,与对照组相比,P. g.刺激组和P. g.联合CID-106770组的自噬体数量显著增加,而P. g.联合ML098组的自噬小体数量减少,该结果表明ML098促进了自噬而CID-1067700抑制了自噬。接着,作者利用WB和ELISA评估了ML098和CID-1067700对IL-1B成熟和释放的影响。ML098显著减少了P. g.组细胞中IL-1B的成熟和释放,而CID-1067700则增加了IL-1B的成熟和释放。这些结果表明,在P. g.刺激的THP1细胞中,活性GTP结合形式的RAB7A减少导致自噬受损和溶酶体运输改变,从而增强了IL-1B的分泌成熟。

图4. RAB7A活性抑制阻断自噬体-溶酶体融合
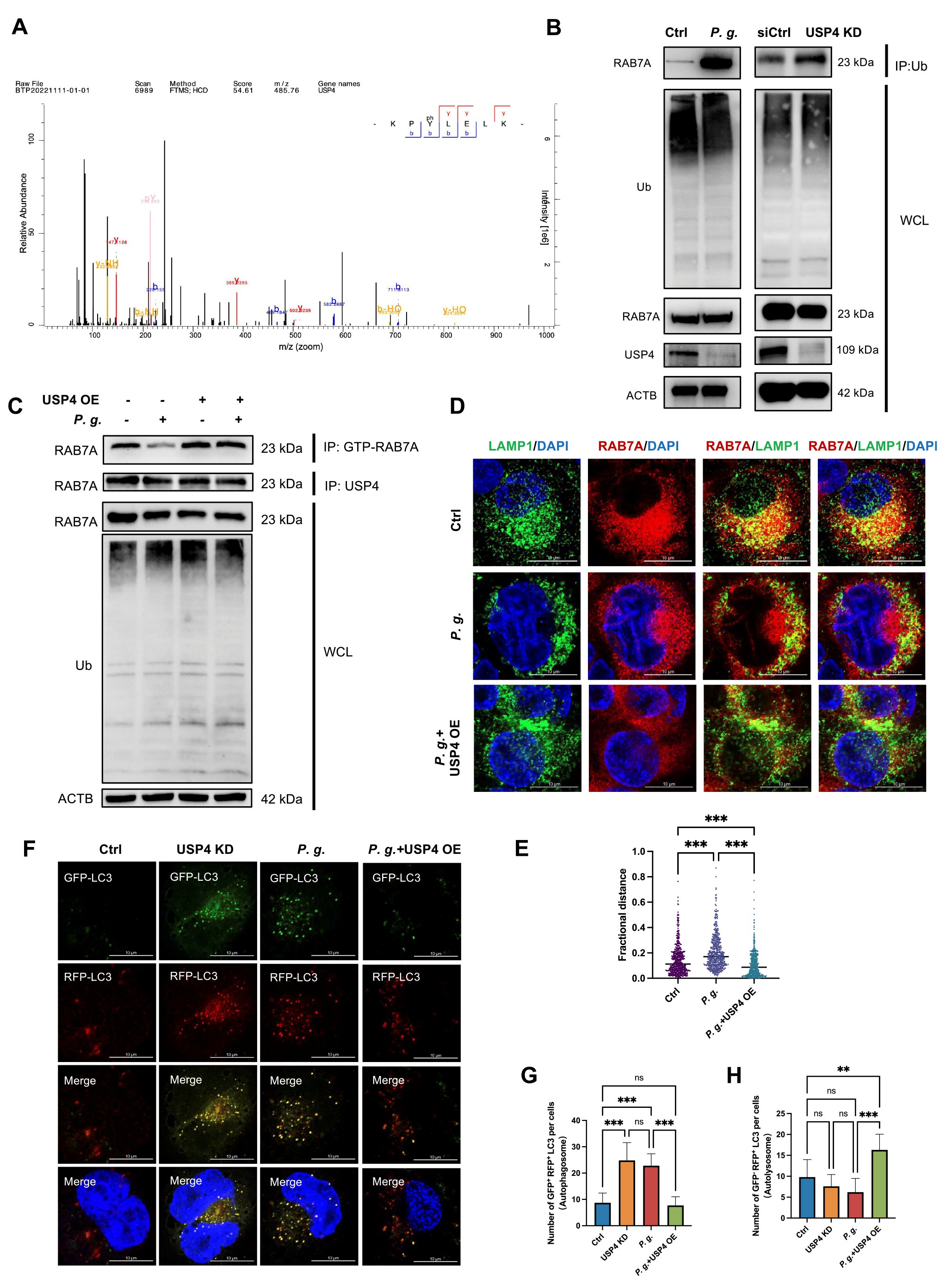
5.USP4通过调节RAB7A去泛素化促进自噬体-溶酶体融合
为了探究P. g.刺激的THP-1细胞中RAB7A活性被抑制的机制,作者用P. g.刺激THP-1细胞后,用蛋白组学分析了与溶酶体蛋白VAMP8相互作用的蛋白。有趣的是,去泛素化酶USP4被发现在其中,最近的研究表明,RAB7A的泛素化在调节晚期内质网运输和回收方面起着关键作用,作者通过免疫共沉淀和蛋白-蛋白分子对接实验验证了USP4与RAB7A之间的相互作用。此外,作者评估了正常(对照组)和USP4敲低(USP4 KD组)的THP-1细胞对P. g.刺激响应时USP4表达和RAB7A泛素化的变化。与对照组比较,USP4的表达在P. g.刺激组和USP4 KD组中表达均下降,而RAB7A的泛素化水平增加。另外,作者探究了RAB7A对P. g.刺激的多泛素化反应。结果显示,RAB7A的K63特异性多泛素化减少。
为了确定RAB7A泛素化是否影响其在溶酶体转运中的作用,作者通过免疫荧光检测了从细胞核到细胞边缘的LAMP1的荧光强度。结果显示,P.g.刺激组中,细胞中LAMP1的外周定位增加,而在P.g.刺激下过表达USP4,LAMP1的外周定位减少,这表明USP4的下调增强了由RAB7A介导的溶酶体转运。接着,作者检测了不同处理(对照组、USP4敲低组(USP4 KD)、P.g.刺激组、P.g.刺激联合USP4过表达组(USP4 OE))中细胞自噬流的水平,结果显示,与对照细胞相比,USP4 KD组的自噬小体显著增加。相反,在USP4 OE组中,每细胞自噬溶酶体数量显著增加,这表明USP4表达增强了自噬。此外,作者观察到USP4 KD组细胞中IL-1B释放显著增加,而USP4 OE组细胞中IL-1B释放减少。这些结果表明,USP4的减少抑制了自噬体-溶酶体融合和IL-1B释放。这种效应可能由RAB7A泛素化和溶酶体周边转运介导的。

图5. USP4通过调节RAB7A去泛素化促进自噬体-溶酶体融合
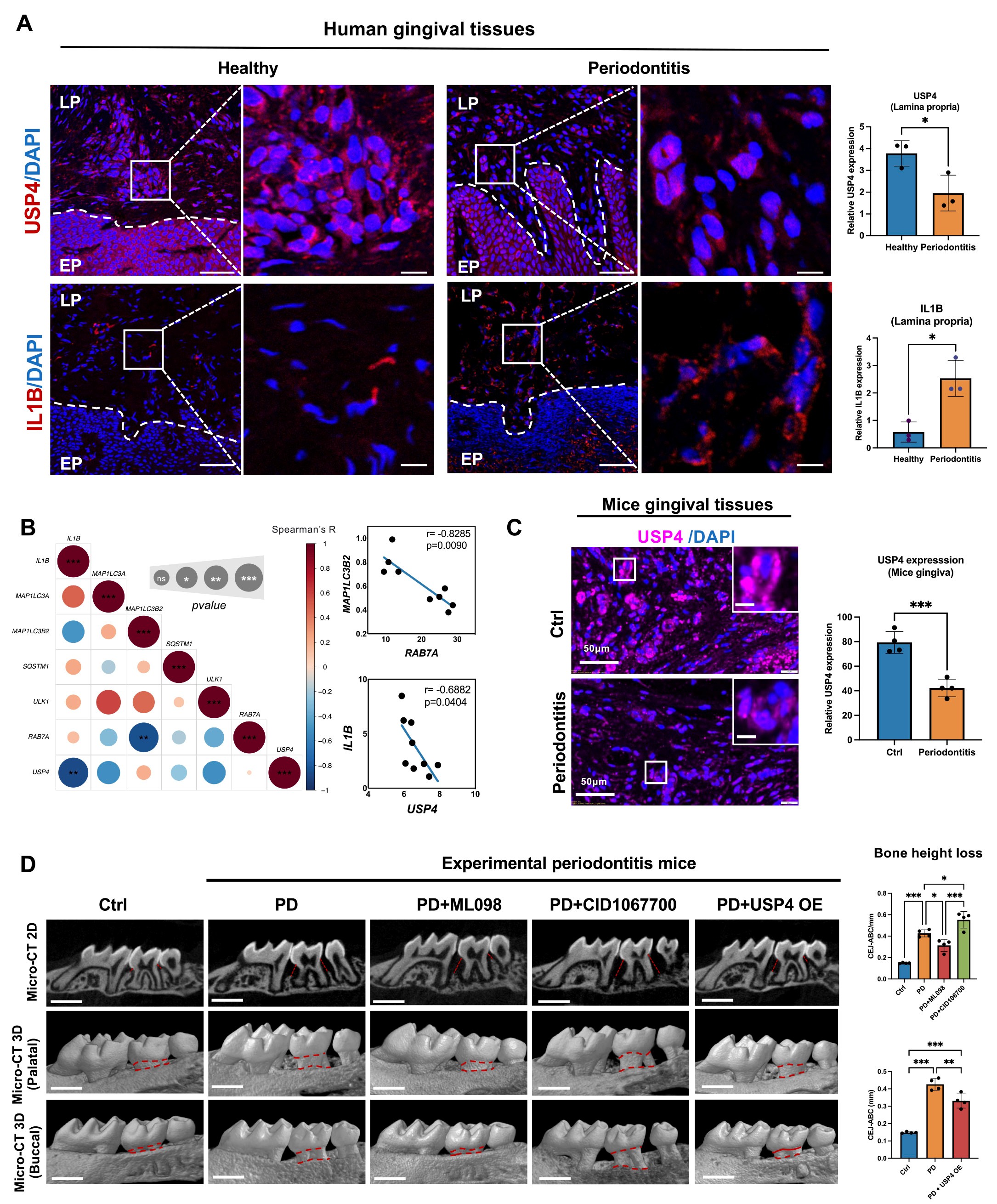
6.USP4的减少与牙周炎中IL-1B表达的增强有关
为了探究USP4的表达与牙周炎发病机制的关联,作者对健康捐赠者(健康组)和严重牙周炎患者(牙周炎组)的临床牙龈组织进行免疫荧光染色和RNA-Seq分析。结果显示,与健康组比较,牙周炎组中的USP4蛋白水平显著降低,而IL-1B水平升高,并且牙龈组织中USP4的表达与IL-1B的表达呈负相关关系;在牙周炎小鼠中也观察到了类似的趋势,与对照组相比,牙周炎小鼠组的牙龈组织中USP4表达下调。最后,作者进行了体内实验(实验分5组:对照组、牙周炎组、牙周炎联合ML098组、牙周炎联合CID-1067000组,牙周炎联合USP4过表达组),结果表明,USP4 过表达减轻了牙周炎小鼠牙槽骨丢失,而CID-1067000加剧了牙槽骨吸收。

图6. USP4的减少与牙周炎中IL-1B表达的增强有关
总结
综上,该研究揭示:USP4功能缺失介导的RAB7A泛素化破坏了正常的溶酶体转运动力学,损害了自噬体-溶酶体的融合,并显著促进了牙周炎的进展。这一新机制的发现为牙周炎新治疗策略的开发提供了潜在方向。

图7. 牙周病发病机制中RAB7A泛素化阻断自噬体-溶酶体融合的模型机理图

查看更多

查看更多

查看更多
联系我们
返回顶部